Physiopathologie du MPP
Un diabète mal régulé peut engendrer des complications comme une neuropathie, une artériopathie qui ont un retentissement sur les pieds des patients.
On retrouve deux causes de survenue de MPP :
L'hyperkératose due à la neuropathie diabétique
La survenue d'un traumatisme
Complications du diabète : La neuropathie diabétique, principale cause
Le diabète provoque une neuropathie :
Motrice qui entraine des déformations du pied et donc un phénomène d'hyper appui, qui est la cause de l'hyperkératose.
Sensitive qui entraîne une perte de sensibilité de « protection » : le patient ressent moins ou pas la douleur ou la gêne au niveau des pieds. Il y a donc disparition des signes d'alerte.
Végétative qui entraîne une anhidrose[1] et donc une fragilité de la peau.
Complications du diabète : L'artériopathie diabétique peut retarder la cicatrisation
Le diabète peut entrainer une artériopathie (diminution de la lumière des artères ) aboutissant à un défaut d'oxygénation qui peut aboutir à une altération de la microcirculation et une ischémie des artères au niveau du pied et donc une diminution des apports en O2 et éléments du sang.
Le mal perforant est essentiellement lié à une neuropathie voire à une neuropathie ischémique mais jamais à une artériopathie pure !
Mécanismes d'apparition de la plaie
L'hyperkératose
Un traumatisme au niveau du pied peut peut être la cause de la survenue d'un MPP : caillou dans une chaussure, pli de chaussette, marcher pieds nus sur une plage... Ce traumatisme associé à la neuropathie motrice (perte de sensation douloureuse) favorise le retard de prise en charge.
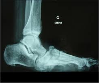
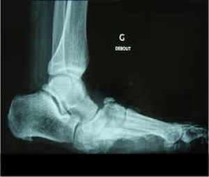
Complément : Cas particulier : le Pied de Charcot
Cette complication du diabète correspond à une atteinte ostéo-articulaire évolutive et destructrice du pied dont l'origine est neuropathique et inflammatoire.
La maladie comprend deux phases :
une première phase aiguë : le patient présente un pied douloureux , chaud avec un œdème, sans plaie.
une deuxième phase chronique : une reconstruction anarchique ostéo-articulaire se produit aboutissant à une déformation souvent sévère du pied.
Le traitement de la phase aigue est une mise en décharge immédiate et complète du pied à l'aide d'un plâtre de décharge ou une botte de décharge jusqu'à régression complète des symptômes (plusieurs semaines voire plusieurs mois).

Tout pied ou cheville œdématié et sans plaie chez un patient diabétique doit faire évoquer un « pied de Charcot » en phase aigue jusqu'à preuve du contraire.


